5 Tips for Braces and Invisalign
If you’re starting orthodontic treatment with Ollins Orthodontics in Nutley or in the Passaic, Clifton, Bloomfield, and Montclair areas, you… Read More
653 Franklin Ave
Nutley, NJ 07110

Become part of our practice and experience an orthodontic office like no other.
Meet the Doctors

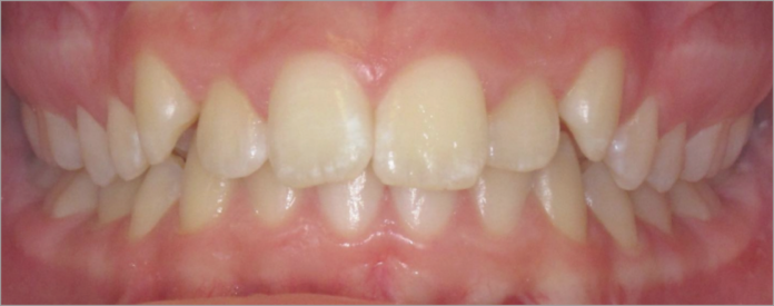
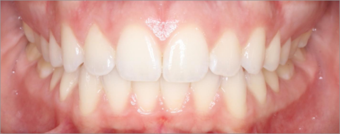
Not all orthodontic treatment is the same. We use the latest in braces and aligners to give you an outstanding smile more comfortably and in less time.
See the Difference
If you’re starting orthodontic treatment with Ollins Orthodontics in Nutley or in the Passaic, Clifton, Bloomfield, and Montclair areas, you… Read More

If you just had your braces adjusted and you’re feeling tender or sore, you’re not alone. A bit of discomfort… Read More

Getting the smile you want shouldn’t mean breaking the bank. At Ollins Orthodontics, we’re committed to helping patients in Nutley… Read More